All-on-4のコンセプトとは

欧米の歯科学会では、十年以上前から患者様の負担(治療期間や大きな外科処置、治療コストなど)をできるだけ軽減するためのインプラント術式が注目され始めていました。
患者様の負担を大きく軽減できる「All-on-4」(無歯顎即日インプラント治療)は、十年以上の臨床成績が示された科学的根拠のある最新のインプラント治療法として、ヨーロッパから全世界に広まりつつあります。
All-on-4による即日インプラント治療のメリット
骨移植か骨造成の必要がなくなります |
インプラント手術当日から食事ができます |
歯の入っていない期間がなくなります |
将来的にも審美性が維持できます |
来院回数が少なく、経済的負担も従来の方法と比べると少なくて済みます |
科学的に実証された治療法で成功率が高い |
ノーベルガイドを利用したフラップレス手術により術後の違和感が少ない |
術式
歯が失われる、あるいは歯周病が進行すると歯を支えていた歯槽骨は吸収していきます。
上額には上顎洞とよばれる空洞があり、また下顎には下顎管とよばれる神経、動・静脈の通り道があるため、歯槽骨が吸収すると解剖学的にインプラントをそのまま埋入することが困難になる場合が多くあります。
All-on-4 では、臼歯部にインプラントを30-45°傾斜させて埋入することにより、下顎で4本、上顎で4-6本のインプラントで補綴を支持することができます。




症例
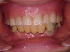
初診

【主訴】
・入れ歯の調子が悪く食べ物をよく咬めない
・下の歯がグラグラする
抜歯後

インプラント埋入(上顎)
【術前】

【術後】

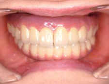
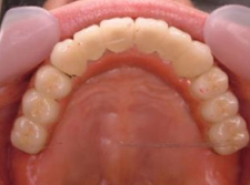
最終補綴物装着
【正面観】

【上顎咬合面観】

最終補綴物装着後パノラマX線
