矯正歯科
歯列矯正治療でOnly Oneのスマイルを・・・
患者様のライフスタイルに合わせた治療方法をご提案させて頂いております。
また、治療内容に適した矯正装置を選択することにより、目立たない装置の使用や痛み、
ストレスの軽減・短期間での治療をこころがけております。
矯正装置の種類と矯正治療のスケジュールにつきまして、ご紹介いたします。
矯正治療しませんか?
なぜ、矯正治療が必要? 見た目だけの問題ではないんです!
①虫歯、歯周病になりやすい
②よく噛めない
③顎の成長、顔の形に影響する
④口元が気になる
⑤発音しにくい
無料相談しましょう!
「歯並びは治したいけど目立つ装置はつけたくない・・・」
「人に気がつかれずに歯並びを治したい・・・」
見えない矯正治療もあります!
矯正の種類
セラミックタイプ
歯と同じ色調のセラミックでできているため、装置が目立ちません。
デーモンシステム・クリッピーシステム
新しいコンセプトの装置です。
シャッターでワイヤーを固定することで歯の移動が速くなる特徴があります。
内側矯正治療
歯列の内側に装置を付けて行う治療です。
外側からは見えません。
クリアリテーナー矯正

透明なクリアリテーナーにより、歯を移動させます。簡単な矯正治療に適しています。
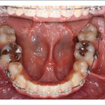
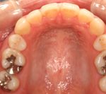
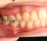
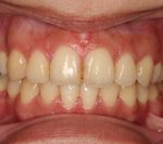
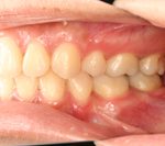
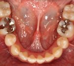
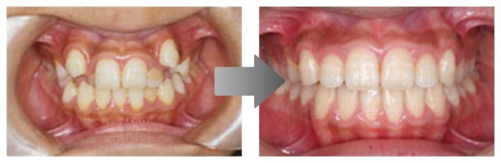
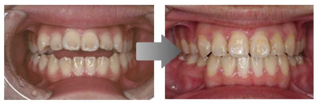
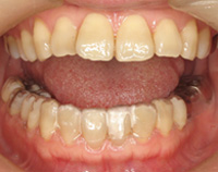
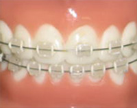
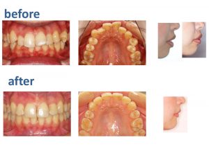
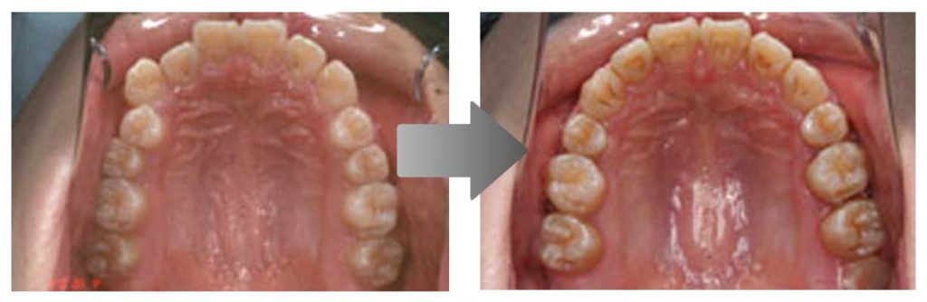
矯正の症例
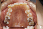
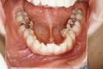
1) 矯正前の状態
![]() |
||
![]() |
![]() |
![]() |
![]() |
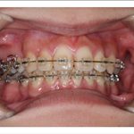
2) 矯正中の状態
![]() |
||
![]() |
![]() |
![]() |
![]() |
3) 矯正を終えた状態
![]() |
||
![]() |
![]() |
![]() |
![]() |
叢生(そうせい…歯がデコボコしたり、重なりあって生えていたりする状態)
開咬(かいこう…奥歯はしっかり噛んでいるが、上下の前歯が噛まずに隙間がある状態)
矯正治療の流れ
【矯正初診】
(1)現在の状況
(2)今後の予測
(3)矯正治療の一般的説明
(4)料金の説明
(5)検査の予約
【検査】
(1)顔面写真・口腔内写真
(2)歯の型取り、噛合せの確認
(3)問診・口腔内検査
(4)レントゲン撮影
(5)側頭部セファロレントゲンの紹介状(大学病院)
【コンサルテーション】
(1)使用装置
(2)治療期間、固定期間
(3)抜歯の有無
(4)矯正治療の諸注意
(5)治療料金
(6)契約書の作成
【矯正治療】
(1)口腔内管理:ブラッシング指導
(2)診療スケジュール:成人・永久歯の矯正は毎月1回
【矯正治療終了日】
(1)装置除去
(2)スケーリング・クリーニング
(3)型取り
(4)顔面写真・口腔内写真
【経過観察】
(固定装置の使用期間)
(1)1か月検診
(2)3ヵ月検診→6ヵ月検診→6ヵ月検診



















