上顎洞挙上術(サイナスリフト)

上顎骨の内部には上顎洞と呼ばれる大きな空洞が存在します。

歯がなくなると、歯槽骨の吸収が進行します。
上顎の場含は、図のように上顎洞の拡大も進行する可能性もあり、歯槽骨はさらに薄くなります。

歯槽骨の骨量が少なくなると、インプラントが埋入できなくなリます。

歯槽骨の薄い部分の上顎洞底部に移植骨や骨補填材を填入することで、インプラントを埋入できるようになります。
上顎洞底へのアプローチのしかたにより、側方からのアプローチ法(ラテラルウィンドウ、狭義のサイナスリフト)と、歯槽骨頂からのアプローチ法(クレスタルアプローチ、ソケットリフト)の2つがあります。
サイナスリフト(ラテラルウィンドウ)

右上大臼歯部にインプラント埋入を計画。

拡大

上顎洞の側方の歯肉を剥離します。

上顎洞側壁の骨を削り、窓を開けます。この小さな窓から上顎洞粘膜(シュナイダー膜)を持ち上げます。

上顎洞粘膜が持ち上がってできたスペースに、骨あるいは人工骨を填入します。

上顎洞の側壁を戻し歯肉をもとに戻します。

骨が成熟したら、インプラントを埋入します。
症例について
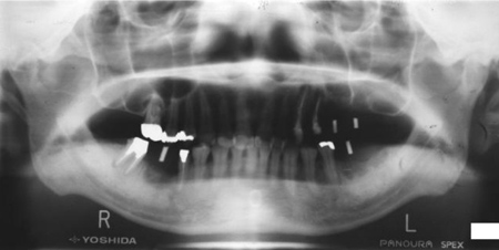
術前パノラマX線写真

CTデータより3D画像を構築
左上に2本のインプラントを計画

上顎咬合面観

術前CT 1
第二小臼歯部

インプラントをシミュレーション

術前CT 2
第一大臼歯部

インプラントをシミュレーション

サイナスリフト手術
術前

術後

術前CT 1
第二小臼歯部

サイナスリフトと同時にインプラントを埋入

術前CT 2
第一大臼歯部

サイナスリフトによりインプラントの埋入が可能

術後レントゲン写真
