歯周病
歯周病って?
歯周病は歯周病菌による感染症です!
始めは痛みがないことが多く、少しずつ進行し、歯を失う原因にもなります!
歯周病はお口の中の細菌により、歯の周りの組織を破壊させる病気です。
歯を失う原因の半分が歯周病によるもので、歯茎の腫れ、歯茎に出血、歯のぐらつきへと進行して、やがて歯を喪失してしまいます。
健康な歯茎の状態
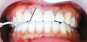
歯周病の歯茎の状態
歯ブラシすると歯茎から血が出ていませんか?
歯周病は進行してしまうと治療は困難になります。
最悪は抜歯のケースも。
歯周病と言っても症状や程度に違いはありますが、とにかく少しでも早期に発見して治療を開始することが重要です。
歯周病と全身の病気との関係
アルツハイマー型認知症
歯周病が原因となることがわかりました。
炎症が脳に飛び火すると、「アミロイドβ」が増えます。これは脳のゴミと言われ、アルツハイマー型認知症の発症・悪化のリスクを高めます。
糖尿病
歯周病菌の毒素が全身に巡ると、血糖を調整しにくくなり、糖尿病が発症・進行しやすくなります。
糖尿病は歯周病を悪化させることもわかっています。
脳卒中(脳血管疾患)
歯周病の炎症が血流に乗って、全身を巡り、血管がつまりやすくなります。
脳の血管がつまると、脳梗塞です。
心筋梗塞、狭心症
歯周病の炎症が心臓の血管に飛び火すると、血管がボロボロになります。
血管が完全につまると心筋梗塞、血管が狭くなり酸欠の状態が狭心症です。
誤嚥性肺炎
歯周病菌が気管から肺に入ると、肺が炎症を起こすことがあります。
口腔内細菌が多いと、肺炎のリスクが高くなります。
早産、低体重児出産
歯周病の人はリスクが高いことが報告されていて、炎症物質が子宮収縮を促すとされます。
骨粗鬆症
歯を支える骨の減少が早く、歯周病の進行が早くなります。
また、歯周病で歯を失うと食べる力が弱くなり、身体の骨密度を低下しやすい傾向にあります。
歯周病の原因
歯周病の主な原因はプラークとよばれる細菌です。
プラークは歯磨きの際の磨き残しなどが溜まったものですが、これが放置されていると石のように硬くなり、一度そうなると歯ブラシでは落とせない歯石になります。
このプラークの中には歯周病菌もいますから、それが溜まった状態になっているとその部分の歯肉(歯茎)から炎症を起こし始めてしまうのです。
それが歯周病のはじまりです。
歯周病治療
あなたの歯を守ってくれる歯科医師、歯科衛生士はいますか?
一度クリーニングを受けて安心していませんか?
・歯石をとる前後でお口の中を鏡で見せてもらったことはありますか?
・どうして歯石がつくのか、歯周病になるのか説明されましたか?
・磨き残しを赤く染めだしてチェックし、歯磨きの指導を受けましたか?
・レントゲンで骨の状態を見せてもらいましたか?
・歯周病の検査や今後の治療の説明はありましたか?
歯周病には軽度・中度・重度と人それぞれ症状が異なります。
歯肉の状態や歯石の量によりクリーニングの回数は違ってきます。
しっかりとした歯周病治療のクリーニングを受けませんか?
当院では、歯科医師・歯科衛生士共に、担当制です。
患者様に、より親身に長期にわたり、治療から予防までサポートさせていただき治療を行っております。
治療の流れ

虫歯や歯周病を予防するには定期的にPMTC(プロのケア)が必要です。
・生活習慣などのご相談、あなたに合った歯ブラシや磨き方、歯磨剤などをご紹介いたします。 |
・保険制度により、現状の歯肉や骨の状態を検査し、歯周病の進行状況などを診断し、歯石取りをしていきます。歯周病が落ち着くまではクリーニングに数回の来院が必要です。 |
・最後はお口の中の健康と美を保つ為に、メインテナンスに移行します。 |
ステップ1
歯周基本検査
歯茎や顎の骨の状態を検査し、ご説明します。
歯磨き指導

歯磨きは生活習慣の1つです。毎日のケアはすごく重要になります。
歯磨きの仕方をチェックし、磨き残しを改善できるようにアドバイスさせて頂きます。
必要に応じてホームケアグッズを紹介しています。
歯石除去
歯石は歯ブラシでは取れません。
目に見えている範囲の歯石は始めに除去します。
ステップ2
検査2回目
歯茎の状態の改善を検査します。
縁下歯石の除去
歯周ポケットの中についてしまった歯石を除去します。
歯石の着き方により一回の処置で、4本~6本ずつ行います。歯周病の度合いにより回数が異なります。(この処置は場合により麻酔をして行う必要があります)

ステップ3
メインテナンス(定期検診・PMTC)
個々の患者様のお口の中の問題点やリスクを把握したうえで、安全でかつ最良の器材・材料を患者様に応じて選択して、リスクを下げるための処置をいたします。
毎日のセルフケアで足りないところや、歯ブラシでは落とせないバイオフィルムを除去します。また、嗜好品によって付着してしまった汚れ(タバコのヤニ)もスッキリと落とすことができます。
これからは予防の時代です!!
治療が終わったら、これで終わりではありません。
虫歯や歯周病を予防するにはホームケアのみならず、きちんとしたアフターケア(プロのケア)が必要になります。
3~4カ月後には細菌の数が元に戻るので、プロのクリーニングで細菌レベルを低くする事が予防の要に繋がります。
